Agenda tu cita
AQUÍ
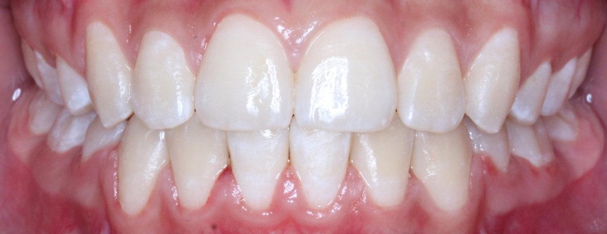
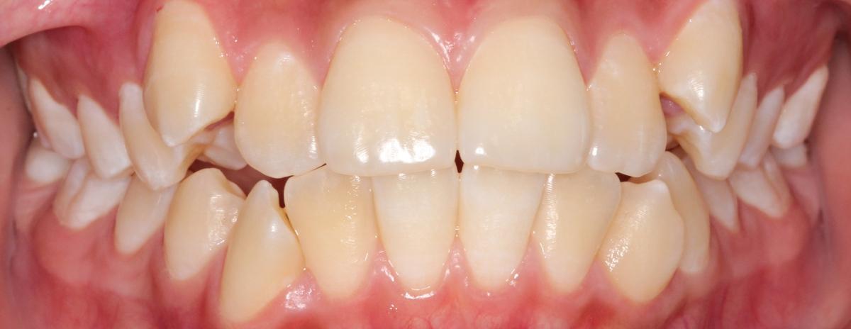
Apiñamiento en ambas arcadas

TRATAMIENTO
REALIZADO

  • Ortodoncia

DOCTOR A CARGO

Dra. Kiriam Garcia

Dra. Kiriam Garcia

LA DIFERENCIA

ANTES
antes Apiñamiento en ambas arcadas despues Apiñamiento en ambas arcadas
DESPUés

la sonrisa de Kimberly Flores

incisivos pro inclinados (dientes frontales salidos) caninos gingivales (colmillos en posición alta) falta de espacio para caninos

Contacte nuestros servicios ORTOMAX

Queremos conocer
tu caso

Escríbenos para programar tu cita médica

CONTACTO