Agenda tu cita
AQUÍ
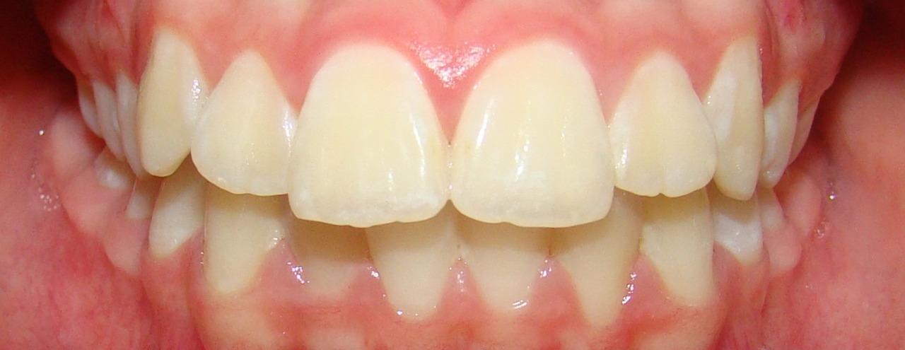
Paciente clase II

TRATAMIENTO
REALIZADO

  • Ortodoncia

DOCTOR A CARGO

Dra. Kiriam Garcia

Dra. Kiriam Garcia

LA DIFERENCIA

ANTES
antes Paciente clase II despues Paciente clase II
DESPUés

la sonrisa de Carlos Segovia

En muchas ocasiones los pacientes presentan los dientes alineados pero las inclinaciones impiden hacer el cierre labial correcto.

Contacte nuestros servicios ORTOMAX

Queremos conocer
tu caso

Escríbenos para programar tu cita médica

CONTACTO