Estamos comprometidos a cambiar sonrisas y a devolverle la confianza y seguridad a cada paciente.
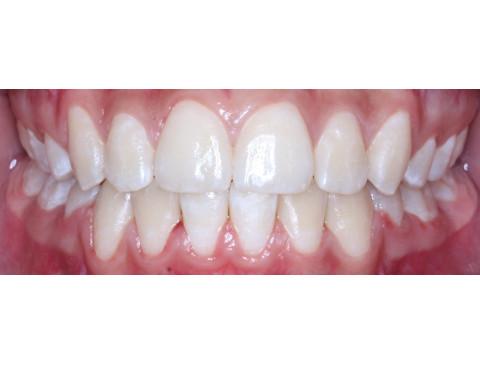
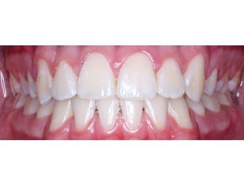
Paciente clase II
Corrección de fractura mandibular
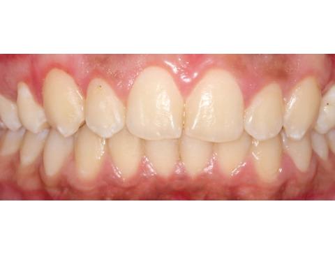
Paciente clase II con sobrepase horizontal aumentado
Apiñamiento en ambas arcadas
Clase III
Cirugía de lipoma Bucal
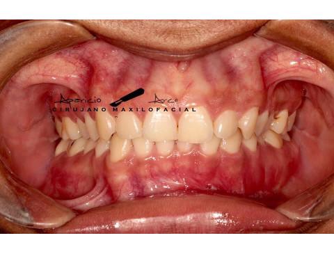
Exceso de hueso y de encía
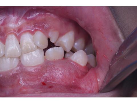
Cirugía de BotónCirugía de botón en canino retenido
Escríbenos para programar tu cita médica