Agenda tu cita
AQUÍ
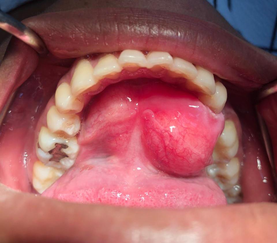
Cirugía de lipoma Bucal

TRATAMIENTO
REALIZADO

  • Cirugía oral

DOCTOR A CARGO

Dr. Henry Aparicio

Dr. Henry Aparicio

LA DIFERENCIA

ANTES
antes Cirugía de lipoma Bucal despues Cirugía de lipoma Bucal
DESPUés

la sonrisa de Lipoma

Se realizó una cirugía explorativa con anestesia local para extraer tumor y enviarlo a realizar bioxia.

Contacte nuestros servicios ORTOMAX

Queremos conocer
tu caso

Escríbenos para programar tu cita médica

CONTACTO