Agenda tu cita
AQUÍ
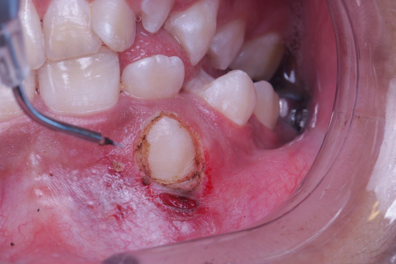
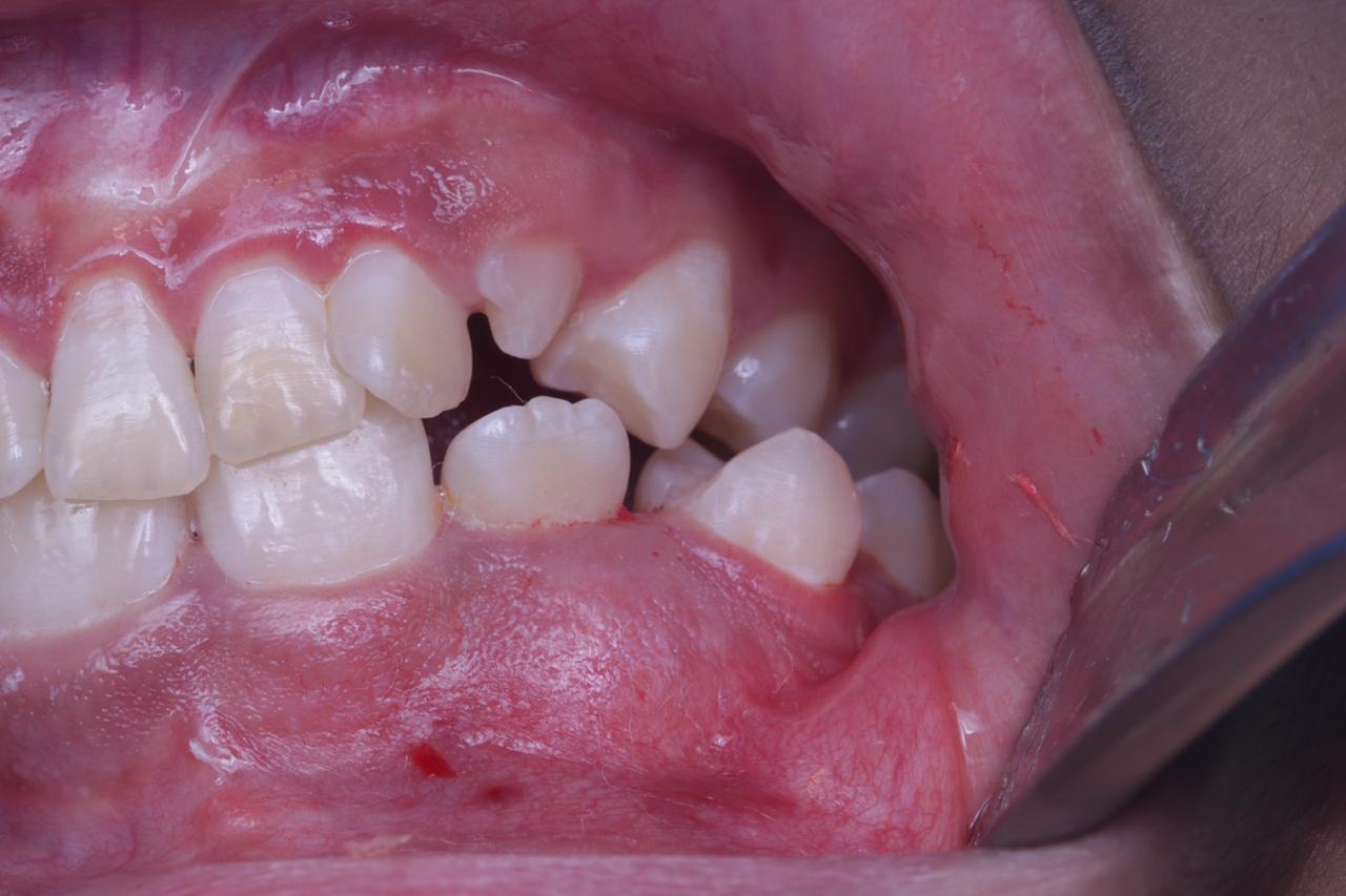
Cirugía de BotónCirugía de botón en canino retenido

TRATAMIENTO
REALIZADO

  • Cirugía oral

DOCTOR A CARGO

Dr. Henry Aparicio

Dr. Henry Aparicio

LA DIFERENCIA

ANTES
antes Cirugía de BotónCirugía de botón en canino retenido despues Cirugía de BotónCirugía de botón en canino retenido
DESPUés

la sonrisa

Colocación de un botón de ortodoncia ocupando el láser para remover le encía que estaba sobre el canino.

Contacte nuestros servicios ORTOMAX

Queremos conocer
tu caso

Escríbenos para programar tu cita médica

CONTACTO