Agenda tu cita
AQUÍ
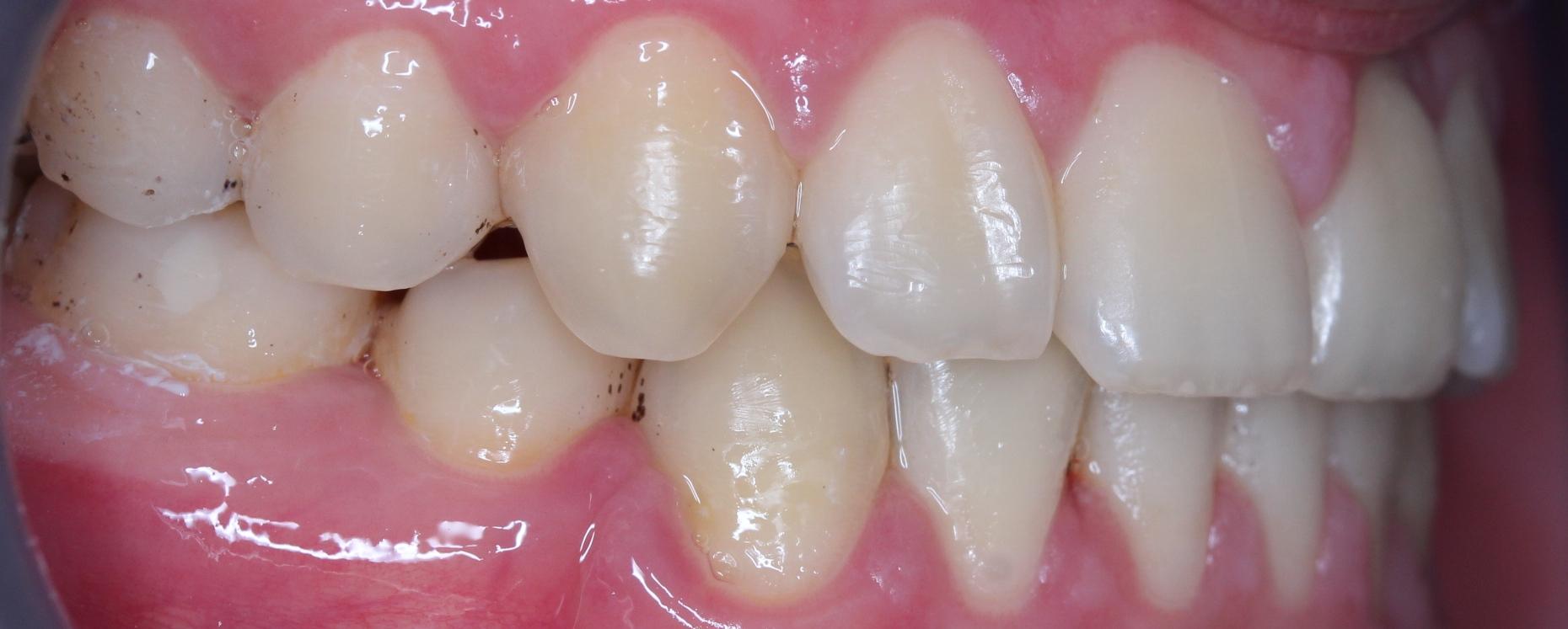
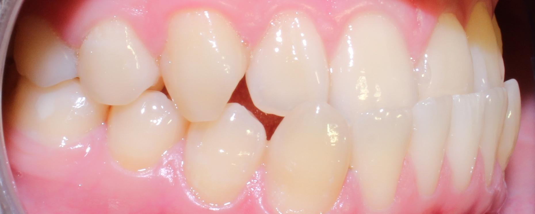
Clase III

TRATAMIENTO
REALIZADO

  • Ortodoncia

DOCTOR A CARGO

Dra. Kiriam Garcia

Dra. Kiriam Garcia

LA DIFERENCIA

ANTES
antes Clase III despues Clase III
DESPUés

la sonrisa de Reynaldo

Mordida cruzada anterior

Contacte nuestros servicios ORTOMAX

Queremos conocer
tu caso

Escríbenos para programar tu cita médica

CONTACTO