Agenda tu cita
AQUÍ
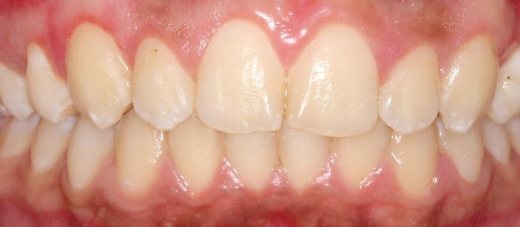
Paciente clase II con sobrepase horizontal aumentado

TRATAMIENTO
REALIZADO

  • Ortodoncia

DOCTOR A CARGO

Dra. Kiriam Garcia

Dra. Kiriam Garcia

LA DIFERENCIA

ANTES
antes Paciente clase II con sobrepase horizontal aumentado despues Paciente clase II con sobrepase horizontal aumentado
DESPUés

la sonrisa de Karina Domitilda

Dificultad para cortar alimentos y cierre labial, pro inclinación de Incisivos Superiores.

Contacte nuestros servicios ORTOMAX

Queremos conocer
tu caso

Escríbenos para programar tu cita médica

CONTACTO