Agenda tu cita
AQUÍ
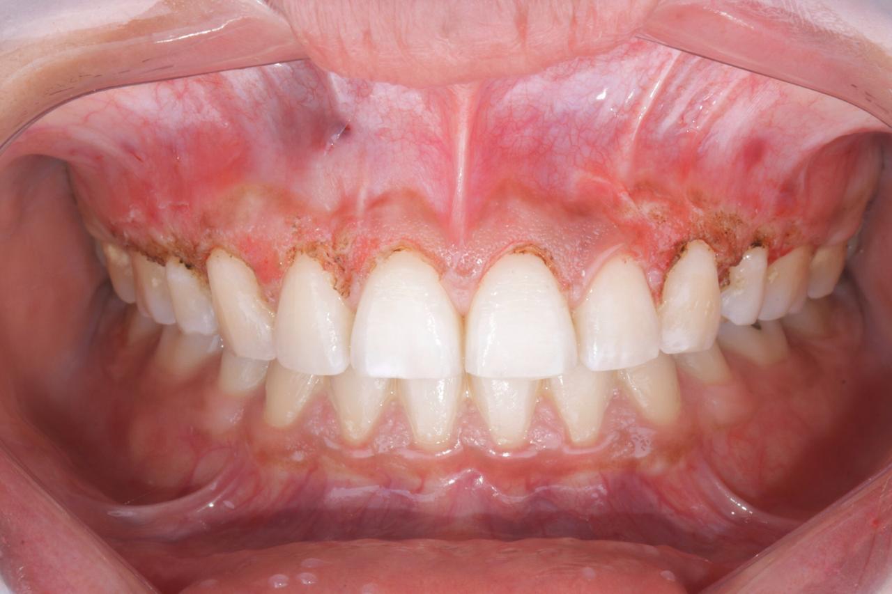
Exceso de hueso y de encía

TRATAMIENTO
REALIZADO

  • Cirugía oral

DOCTOR A CARGO

Dr. Henry Aparicio

Dr. Henry Aparicio

LA DIFERENCIA

ANTES
antes Exceso de hueso y de encía despues Exceso de hueso y de encía
DESPUés

la sonrisa de Monica Bonilla

Después de tratamiento de ortodoncia presenta exceso de hueso y encía.

Contacte nuestros servicios ORTOMAX

Queremos conocer
tu caso

Escríbenos para programar tu cita médica

CONTACTO